shiruken's User Avatar

@shiruken

in /science 5 months ago

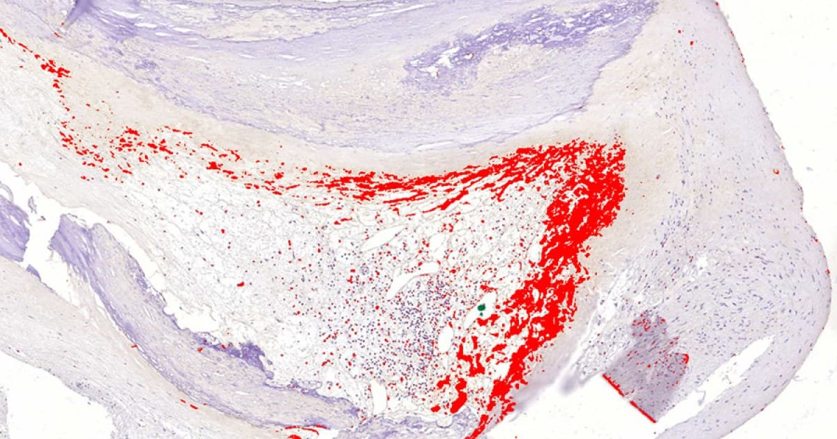
Myocardial infarction may be an infectious disease: study demonstrated presence of DNA from oral bacteria inside atherosclerotic plaques

Myocardial infarction may be an infectious disease: study demonstrated presence of DNA from oral bacteria inside atherosclerotic plaques - Featured Image

Myocardial infarction may be an infectious disease: study demonstrated presence of DNA from oral bacteria inside atherosclerotic plaques

www.tuni.fi - favicontuni.fi
TLDR

A study suggests myocardial infarction may be triggered by an infectious disease, with bacteria in atherosclerotic plaques causing inflammation and plaque rupture, potentially leading to new diagnostic and therapeutic strategies.

Direct link to study: P. J. Karhunen, et al., Viridans Streptococcal Biofilm Evades Immune Detection and Contributes to Inflammation and Rupture of Atherosclerotic Plaques, Journal of the American Heart Association, 14(16) (2025) https://doi.org/10.1161/JAHA.125.041521

0 Comments